Rotura da placa plantar do 2º dedo do pé.

12 de julho de 2017 | Por

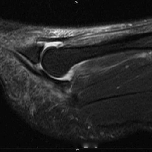
Corredor com historia de dor e inchaço no antepé, mais precisamente na região plantar da articulação entre o 2o metatarso e a falange proximal.

Ressonância magnética do antepé com identificação de rotura da placa plantar metatarsofalângica do 2o dedo, junto a inserção lateral e sinovite articular.