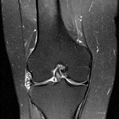
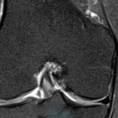
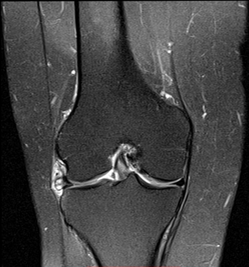
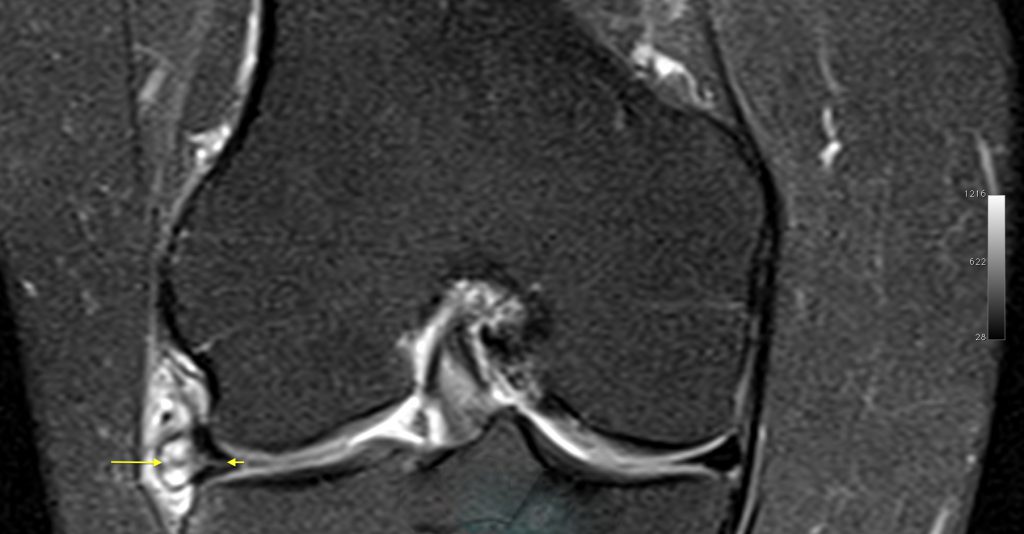
Lesão horizontal do menisco lateral e cisto parameniscal.

11 de julho de 2017 | Por

Corredora com dores na região do compartimento lateral do joelho e sensação de aumento de volume com formação de um nódulo palpável.

Realizado exame de ressonância magnética com identificação de lesão horizontal do menisco lateral (seta pequena) e formação cística parameniscal.