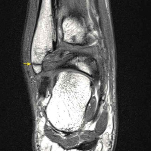
Fratura avulsão do maléolo lateral do tornozelo.
Corredora com história de entorse do tornozelo provocando dor, limitação funcional e inchaço articular.
Imagem de ressonância magnética (Cor T1) com identificação de fratura transversa do maléololateral da fíbula com desvio mínimo.